22. 11. 2019 – 7.05

Možganska polobla

Audio file
Kako se prilagodijo možgani, ko jih pol manjka?

Raziskovalna skupina v reviji Cell Reports poroča o primerjavi funkcijske povezanosti možganov med ljudmi, ki živijo z eno samo možgansko poloblo, in tistimi, ki imajo obe polobli velikih možganov. Ugotovili so, da so povezave med različnimi omrežji močnejše pri ljudeh z eno poloblo možganov v primerjavi s tistimi s celimi možgani.

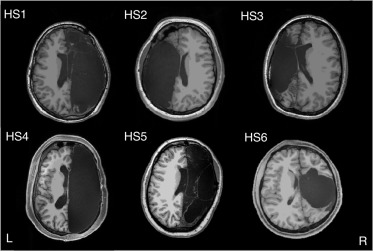
Kako pa to, da imajo nekateri ljudje le eno možgansko poloblo? V nekaterih primerih epilepsije pri otrocih se zdravnice in zdravniki lahko odločijo za odstranitev možganske poloble. Možgani pa so tako plastični, da se na to lahko prilagodijo

Novejše raziskave delovanja možganov se osredotočajo predvsem na preučevanje funkcijskih povezav v možganih. V raziskavi so s funkcijsko magnetno resonanco v stanju mirovanja posneli možgane šestih oseb z eno samo možgansko poloblo in šestih oseb z obema poloblama možganov. S proučevanjem funkcijske povezanosti možganov v stanju mirovanja lahko namreč preiskujemo tudi druga možganska omrežja, ki so na primer aktivna pri pozornosti, gibanju in kogniciji. Sledili so torej toku krvi po možganih, kar je služilo kot meritev možganske aktivnosti. Pri tem je bila aktivnost lahko hkrati posneta na več mestih, kar je kazalo na sočasno delovanje regij in na deljenje informacij med njimi.  

Znano je bilo že, da so možganske povezave zdravih oseb v stanju počivanja močnejše znotraj določenega omrežja in šibkejše med različnimi omrežji. V raziskavi pa so dognali, da so pri osebah, ki imajo samo eno možgansko poloblo, močnejše tudi povezave med različnimi omrežji. Tako raziskovalke in raziskovalci predvidevajo, da lahko ravno te povezave služijo kot prilagoditev in podpora celotnemu kognitivnemu delovanju in zavestni izkušnji pri osebah z eno samo možgansko poloblo.

Celotne možgane je pozno v noč koristila Zarja.

Prazen radio ne stoji pokonci! Podpri RŠ in omogoči produkcijo alternativnih, kritičnih in neodvisnih vsebin.

Dodaj komentar

Komentiraj

Z objavo komentarja potrjujete, da se strinjate s pravili komentiranja.

Napovedi